首页观点新闻特写视频

在不同平台获取最新新闻

wechattiktokfacebookyoutubetelegram

新加坡最大型结核病检测 方便了居民苦了小贩

惹兰红山的ABC砖厂巴刹与熟食中心,近日成为结核病“重灾区”,门可罗雀。(新明日报)
惹兰红山的ABC砖厂巴刹与熟食中心,近日成为结核病“重灾区”,门可罗雀。(新明日报)

非常时期、非常做法

刚过去的周末,坐落在惹兰红山的ABC砖厂巴刹与熟食中心忽然迎来多名本地政要。

永续发展与环境部长傅海燕在脸书发文说,她与同部门的高级政务部长许连碹博士和高级政务次长马炎庆,以及永续部和国家环境局的同事到那里吃午餐。

“虽然一些摊位没开,但很多摊位仍照常营业。我们忍不住点了鸡饭、炒福建面、烤鸭、薄饼、菜头粿、水饺汤和很多美味的本地佳肴。”

Loading embed...

隔天,卫生部长王乙康也在脸书发文说,他在丹戎巴葛集选区议员蔡瑞隆的推荐下,享用了砂煲饭、蚝煎和浆绿(chendol)。

蔡瑞隆也是文化、社区及青年部兼社会及家庭发展部高级政务次长。

Loading embed...

连人在文莱的的总理夫人何晶,也特地在脸书呼吁公众支持ABC砖厂巴刹的小贩,并推荐那里的卤鸭饭。

Loading embed...

食客怕被传染 小贩生意减半 

别误会,ABC砖厂巴刹不是新开张的巴刹,更不是什么新的“打卡热点”。

政要们以实际行动支持那里的小贩,是因为惹兰红山近日出现10起新的结核病(tuberculosis,简称TB)病例,其中六人经常到访ABC砖厂巴刹。

该巴刹的摊主和员工因此被列为强制检测的对象,导致那里生意一落千丈。

惹兰红山近日出现10起新的结核病例,其中六人经常到访ABC砖厂巴刹与熟食中心。(海峡时报)
惹兰红山近日出现10起新的结核病例,其中六人经常到访ABC砖厂巴刹与熟食中心。(海峡时报)

69岁的杨姓摊贩接受亚洲新闻台访问时直言,过去一周的生意减少一半,甚至比冠病疫情期间还惨淡。

“疫情期间,顾客还会来打包,但现在他们连打包都不敢。”

也有摊贩索性在检测后直接收档回家。63岁的粥品店老板说:

“即使准备的食材不到平时的一半,还是卖不完,只好丢弃。一整天连100元都赚不到。我先让员工休息几天,不然做了也是白做。”

除了巴刹摊主和员工,卫生部也在上周(1月11日至15日)为以下群体进行强制检测:

    考虑到这一带有较多年长居民,卫生部决定在组屋旁的露天停车场设立检测站,方便居民检测。流动检测小组也会上门,为行动不便的居民进行检测。

    在惹兰红山一带生活和工作的人,于上周接受免费的结核病检测。(海峡时报)
    在惹兰红山一带生活和工作的人,于上周接受免费的结核病检测。(海峡时报)

    这是新加坡迄今最大规模的结核病检测行动,也是首次针对巴刹与熟食中心而展开。 约3000人必须受检,另有500多名公众自愿报名接受检测。

    检测结果呈阴性的公众会收到短信通知,呈阳性的公众则须进行X光扫描并接受后续治疗。

    潜伏期较长 但不易传播

    其实,这不是惹兰红山第一次出现结核病例。

    2022年,惹兰红山第2座组屋出现结核病感染群,一年内有七名住在不同单位的居民染病。

    2022年,惹兰红山第2座组屋一年内有七名住在不同单位的居民感染结核病。(联合早报)
    2022年,惹兰红山第2座组屋一年内有七名住在不同单位的居民感染结核病。(联合早报)

    卫生部当时展开为期五天的检测行动,为组屋居民、咖啡店摊主,以及商店店主和职员提供免费检测,结果发现197起潜伏型结核病例和15起活跃型结核病例。

    上周公布的10起新病例,就与当年这个感染群有关联。

    为什么隔了那么长时间会再出现新病例?

    传染病专家梁浩楠医生解释,结核病的潜伏期较长,确诊后查明源头需要不少时间。

    “要找出感染源头非常困难,近乎不可能。毕竟源头未必在这个组屋区,而感染群可能是多年前的一场集体活动引发的。”

    根据卫生部网站上的资料:

    结核病菌主要通过空气传播。病患在咳嗽时把病菌散播到空气中,同病患有过近距离和长时间接触的人吸入病菌后可能受感染。

    值得注意的是,这里的“长时间”指的是几天到几周,并非几分钟或几小时的接触就会传染。

    王乙康也在脸书贴文中提醒:

    “一个人如果每天与结核病患一起生活或工作,才有可能被传染。他们不会因为共用杯子、餐具或食物,通过握手或偶尔在小贩中心用餐而染病。”

    部长都敢跟ABC砖厂巴刹的小贩握手了,你还怕什么?(王乙康脸书)
    部长都敢跟ABC砖厂巴刹的小贩握手了,你还怕什么?(王乙康脸书)

    可预防可治疗 儿时打的疫苗未必一劳永逸

    结核病在新加坡属于地方性流行病(endemic),如同现在的冠病,因此人们必须接受会不时出现感染群的情况。

    新加坡上一次出现结核病感染群是在2021年1月,勿洛一个赛马投注中心发现两个感染群,五年内有18人染病。

    2020年10月,后港一座租赁组屋曾出现结核病感染群,有四人染病。卫生部当时也安排组屋居民接受免费检测。

    虽然新加坡的结核病情况已逐年好转,但2022年还是出现1251起新病例。近八成的新病例超过50岁,67.6%是男性。

    梁浩楠医生指出,结核病通常会以两种形式出现:

    潜伏型结核病:

      活跃型结核病:

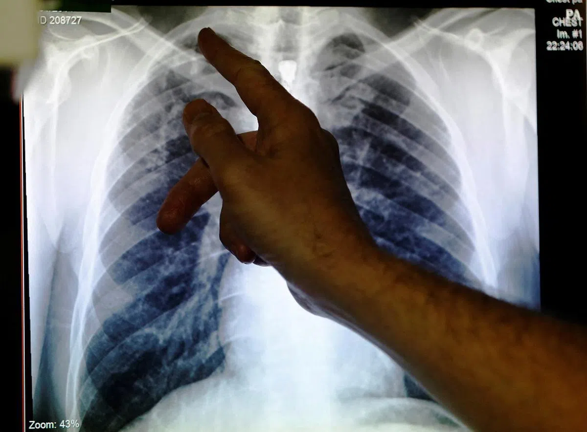
        结核病患的X光扫描图像。(路透社)
        结核病患的X光扫描图像。(路透社)

        更值得担忧的是——耐多药型结核病(multi-drug resistant tuberculosis)。

        这类疾病更难治疗,治愈率也较低,死亡率可达40%至58%。新加坡2022年就有六人患上耐多药型结核病。

        蚁粉还记得念小学时接种的卡介苗(BCG)吗?

        目前,新加坡约99%新生儿在出生后都会接种卡介苗,这种疫苗正是为了预防结核病。

        不过,打了卡介苗未必就一劳永逸。

        蚁粉的手臂上还有注射卡介苗留下的疤痕吗?(互联网)
        蚁粉的手臂上还有注射卡介苗留下的疤痕吗?(互联网)

        国家传染病中心专科医生Deborah Ng解释,这种疫苗可有效预防五岁以下儿童所患的严重结核病,但预防成人结核病的功效不大。

        “卡介苗的杀伤力较强,对脑膜或血液相关的严重结核病有一定的预防功效,但对成人最常患上的肺部相关结核病,保护力却相对有限。”

        看来,在日常生活中预防结核病最好的方式还是戴口罩。

        (虽然红蚂蚁和大家一样,戴了四年的口罩,已经戴到腻了……)

        深入阅读

        深入阅读

        深入阅读

        请勿错过我们的更新内容与资讯。
        加入我们吧!

        tiktokfacebookyoutubewechattelegram

        想分享你的文章?

        请电邮: antseditorial@redants.sg

        Red Anthill Ventures Pte. Ltd. 版权所有